Type Of Resin Retained Bridges . Web resin bonded bridge, also called resin retained bridge, is a type of fixed dental prosthesis for the replacement of a single missing tooth. Web minimal preparation (resin retained) bridges are therefore used when the potential abutment teeth are unrestored or. Web resin bonded or resin retained bridges (rbbs/rrbs) are minimally invasive fixed prostheses. Web resin bonded or resin retained bridges (rbbs/rrbs) are minimally invasive fixed prostheses which rely on composite. Web in this video, we cover the indications/contraindications, advantages and disadvantages, designs, impression.
from plazadental.com.au
Web resin bonded or resin retained bridges (rbbs/rrbs) are minimally invasive fixed prostheses. Web resin bonded bridge, also called resin retained bridge, is a type of fixed dental prosthesis for the replacement of a single missing tooth. Web minimal preparation (resin retained) bridges are therefore used when the potential abutment teeth are unrestored or. Web in this video, we cover the indications/contraindications, advantages and disadvantages, designs, impression. Web resin bonded or resin retained bridges (rbbs/rrbs) are minimally invasive fixed prostheses which rely on composite.
Dental Bridges What Are They and How Do They Work? Plaza Dental
Type Of Resin Retained Bridges Web in this video, we cover the indications/contraindications, advantages and disadvantages, designs, impression. Web minimal preparation (resin retained) bridges are therefore used when the potential abutment teeth are unrestored or. Web resin bonded or resin retained bridges (rbbs/rrbs) are minimally invasive fixed prostheses which rely on composite. Web resin bonded or resin retained bridges (rbbs/rrbs) are minimally invasive fixed prostheses. Web in this video, we cover the indications/contraindications, advantages and disadvantages, designs, impression. Web resin bonded bridge, also called resin retained bridge, is a type of fixed dental prosthesis for the replacement of a single missing tooth.
From www.discoverdental.co.nz
Resin Bonded Bridges Discover Dental Wellington Type Of Resin Retained Bridges Web in this video, we cover the indications/contraindications, advantages and disadvantages, designs, impression. Web resin bonded or resin retained bridges (rbbs/rrbs) are minimally invasive fixed prostheses which rely on composite. Web minimal preparation (resin retained) bridges are therefore used when the potential abutment teeth are unrestored or. Web resin bonded bridge, also called resin retained bridge, is a type of. Type Of Resin Retained Bridges.
From www.bonddentalclinic.co.uk
Specialist Prosthodontist at Bond Dental Clinic in Salisbury Type Of Resin Retained Bridges Web minimal preparation (resin retained) bridges are therefore used when the potential abutment teeth are unrestored or. Web resin bonded or resin retained bridges (rbbs/rrbs) are minimally invasive fixed prostheses which rely on composite. Web resin bonded bridge, also called resin retained bridge, is a type of fixed dental prosthesis for the replacement of a single missing tooth. Web resin. Type Of Resin Retained Bridges.
From twojaws.com
جسر ميريلاند Resin bonded bridge Maryland موقع فكين Type Of Resin Retained Bridges Web in this video, we cover the indications/contraindications, advantages and disadvantages, designs, impression. Web resin bonded or resin retained bridges (rbbs/rrbs) are minimally invasive fixed prostheses which rely on composite. Web minimal preparation (resin retained) bridges are therefore used when the potential abutment teeth are unrestored or. Web resin bonded bridge, also called resin retained bridge, is a type of. Type Of Resin Retained Bridges.
From allbetterchoice.blogspot.com
Resinretained bridge Type Of Resin Retained Bridges Web resin bonded or resin retained bridges (rbbs/rrbs) are minimally invasive fixed prostheses. Web minimal preparation (resin retained) bridges are therefore used when the potential abutment teeth are unrestored or. Web resin bonded bridge, also called resin retained bridge, is a type of fixed dental prosthesis for the replacement of a single missing tooth. Web resin bonded or resin retained. Type Of Resin Retained Bridges.
From www.youtube.com
Maryland Bridge Resin Bonded Bridge YouTube Type Of Resin Retained Bridges Web resin bonded or resin retained bridges (rbbs/rrbs) are minimally invasive fixed prostheses which rely on composite. Web minimal preparation (resin retained) bridges are therefore used when the potential abutment teeth are unrestored or. Web resin bonded or resin retained bridges (rbbs/rrbs) are minimally invasive fixed prostheses. Web resin bonded bridge, also called resin retained bridge, is a type of. Type Of Resin Retained Bridges.
From www.toothpreps.com
Resin bonded cantilever bridge anterior Toothpreps Type Of Resin Retained Bridges Web in this video, we cover the indications/contraindications, advantages and disadvantages, designs, impression. Web minimal preparation (resin retained) bridges are therefore used when the potential abutment teeth are unrestored or. Web resin bonded or resin retained bridges (rbbs/rrbs) are minimally invasive fixed prostheses which rely on composite. Web resin bonded or resin retained bridges (rbbs/rrbs) are minimally invasive fixed prostheses.. Type Of Resin Retained Bridges.
From www.toothpreps.com
Resin bonded cantilever bridge anterior Toothpreps Type Of Resin Retained Bridges Web resin bonded or resin retained bridges (rbbs/rrbs) are minimally invasive fixed prostheses. Web resin bonded or resin retained bridges (rbbs/rrbs) are minimally invasive fixed prostheses which rely on composite. Web resin bonded bridge, also called resin retained bridge, is a type of fixed dental prosthesis for the replacement of a single missing tooth. Web minimal preparation (resin retained) bridges. Type Of Resin Retained Bridges.
From apexdentalnm.com
Apex Dental Crowns and Bridges Type Of Resin Retained Bridges Web resin bonded or resin retained bridges (rbbs/rrbs) are minimally invasive fixed prostheses which rely on composite. Web resin bonded bridge, also called resin retained bridge, is a type of fixed dental prosthesis for the replacement of a single missing tooth. Web resin bonded or resin retained bridges (rbbs/rrbs) are minimally invasive fixed prostheses. Web in this video, we cover. Type Of Resin Retained Bridges.
From www.pinterest.com
Resin Bonded Bridge Minimally Invasive Option for Tooth Replacement Type Of Resin Retained Bridges Web resin bonded bridge, also called resin retained bridge, is a type of fixed dental prosthesis for the replacement of a single missing tooth. Web in this video, we cover the indications/contraindications, advantages and disadvantages, designs, impression. Web resin bonded or resin retained bridges (rbbs/rrbs) are minimally invasive fixed prostheses. Web minimal preparation (resin retained) bridges are therefore used when. Type Of Resin Retained Bridges.
From dentistry.co.uk
Prosthodontips resinretained bridges fun and predictable Dentistry Type Of Resin Retained Bridges Web resin bonded bridge, also called resin retained bridge, is a type of fixed dental prosthesis for the replacement of a single missing tooth. Web resin bonded or resin retained bridges (rbbs/rrbs) are minimally invasive fixed prostheses. Web resin bonded or resin retained bridges (rbbs/rrbs) are minimally invasive fixed prostheses which rely on composite. Web minimal preparation (resin retained) bridges. Type Of Resin Retained Bridges.
From www.slideshare.net
Resin Bonded Bridges Type Of Resin Retained Bridges Web resin bonded or resin retained bridges (rbbs/rrbs) are minimally invasive fixed prostheses which rely on composite. Web minimal preparation (resin retained) bridges are therefore used when the potential abutment teeth are unrestored or. Web resin bonded or resin retained bridges (rbbs/rrbs) are minimally invasive fixed prostheses. Web in this video, we cover the indications/contraindications, advantages and disadvantages, designs, impression.. Type Of Resin Retained Bridges.
From www.toothpreps.com
Resin bonded cantilever bridge anterior Toothpreps Type Of Resin Retained Bridges Web resin bonded or resin retained bridges (rbbs/rrbs) are minimally invasive fixed prostheses which rely on composite. Web minimal preparation (resin retained) bridges are therefore used when the potential abutment teeth are unrestored or. Web resin bonded bridge, also called resin retained bridge, is a type of fixed dental prosthesis for the replacement of a single missing tooth. Web resin. Type Of Resin Retained Bridges.
From www.dothandson.com
Direct Resin Bonded Bridges Type Of Resin Retained Bridges Web resin bonded or resin retained bridges (rbbs/rrbs) are minimally invasive fixed prostheses which rely on composite. Web resin bonded bridge, also called resin retained bridge, is a type of fixed dental prosthesis for the replacement of a single missing tooth. Web resin bonded or resin retained bridges (rbbs/rrbs) are minimally invasive fixed prostheses. Web minimal preparation (resin retained) bridges. Type Of Resin Retained Bridges.
From www.semanticscholar.org
[PDF] Resin bonded bridges techniques for success Semantic Scholar Type Of Resin Retained Bridges Web resin bonded bridge, also called resin retained bridge, is a type of fixed dental prosthesis for the replacement of a single missing tooth. Web resin bonded or resin retained bridges (rbbs/rrbs) are minimally invasive fixed prostheses which rely on composite. Web in this video, we cover the indications/contraindications, advantages and disadvantages, designs, impression. Web resin bonded or resin retained. Type Of Resin Retained Bridges.
From www.slideshare.net
Resin Bonded Bridges Type Of Resin Retained Bridges Web resin bonded bridge, also called resin retained bridge, is a type of fixed dental prosthesis for the replacement of a single missing tooth. Web resin bonded or resin retained bridges (rbbs/rrbs) are minimally invasive fixed prostheses. Web in this video, we cover the indications/contraindications, advantages and disadvantages, designs, impression. Web resin bonded or resin retained bridges (rbbs/rrbs) are minimally. Type Of Resin Retained Bridges.
From www.toothpreps.com
Resin bonded cantilever bridge posterior Toothpreps Type Of Resin Retained Bridges Web minimal preparation (resin retained) bridges are therefore used when the potential abutment teeth are unrestored or. Web resin bonded or resin retained bridges (rbbs/rrbs) are minimally invasive fixed prostheses. Web resin bonded bridge, also called resin retained bridge, is a type of fixed dental prosthesis for the replacement of a single missing tooth. Web in this video, we cover. Type Of Resin Retained Bridges.
From www.researchgate.net
(PDF) Resinretained Bridges Revisited Part 1. History and Indications Type Of Resin Retained Bridges Web resin bonded or resin retained bridges (rbbs/rrbs) are minimally invasive fixed prostheses which rely on composite. Web minimal preparation (resin retained) bridges are therefore used when the potential abutment teeth are unrestored or. Web in this video, we cover the indications/contraindications, advantages and disadvantages, designs, impression. Web resin bonded bridge, also called resin retained bridge, is a type of. Type Of Resin Retained Bridges.
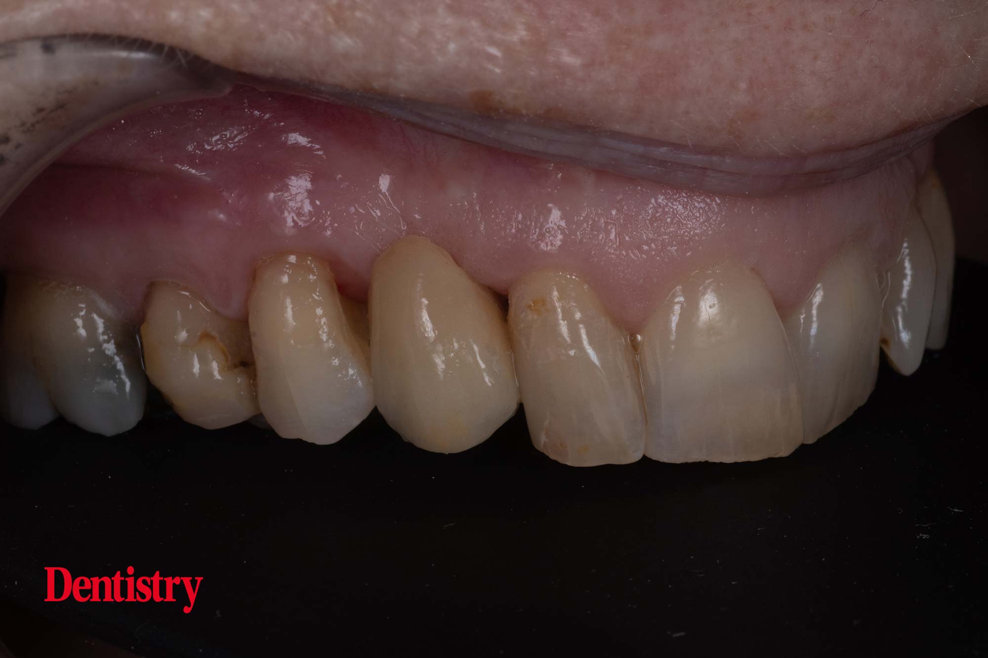
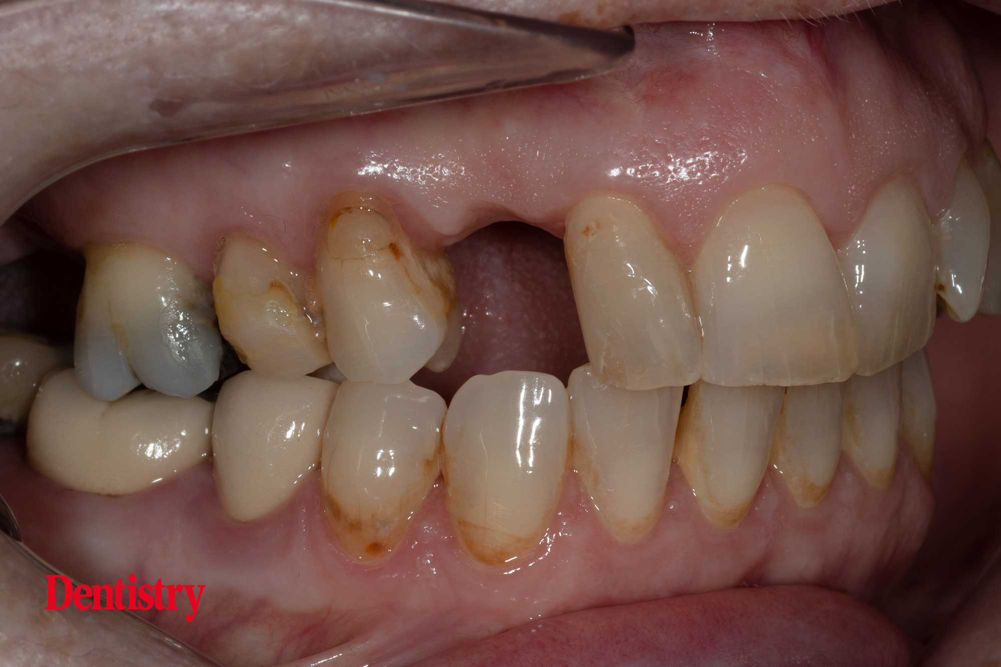
From dentistry.co.uk
Prosthodontips resinretained bridges fun and predictable Dentistry Type Of Resin Retained Bridges Web resin bonded or resin retained bridges (rbbs/rrbs) are minimally invasive fixed prostheses which rely on composite. Web minimal preparation (resin retained) bridges are therefore used when the potential abutment teeth are unrestored or. Web in this video, we cover the indications/contraindications, advantages and disadvantages, designs, impression. Web resin bonded or resin retained bridges (rbbs/rrbs) are minimally invasive fixed prostheses.. Type Of Resin Retained Bridges.